Sâu răng không chỉ xuất hiện ở người lớn mà trẻ nhỏ, thậm chí là em bé đang trong giai đoạn răng sữa, cũng có nguy cơ mắc phải. Nhiều phụ huynh không để ý đến tình trạng sâu răng em bé, thường chủ quan cho rằng răng sữa “rồi cũng thay”, dẫn đến việc phát hiện muộn và để lại nhiều hậu quả ảnh hưởng lâu dài đến sức khỏe răng miệng của trẻ.
Tại nha khoa Lamina, chúng tôi thường tiếp nhận nhiều trường hợp trẻ bị sâu răng từ rất sớm, trong đó không ít bé chỉ mới 2–3 tuổi. Việc trang bị kiến thức đúng về sâu răng em bé sẽ giúp cha mẹ chủ động phòng ngừa và can thiệp kịp thời cho con.
1. Sâu răng em bé là gì?
Sâu răng em bé là tình trạng men răng và ngà răng sữa bị vi khuẩn tấn công, tạo thành các tổn thương nhỏ trên bề mặt răng. Nếu không được phát hiện sớm, các tổn thương này sẽ lan rộng, tạo thành lỗ sâu và có thể ăn sâu vào tủy răng.
Do răng sữa có cấu trúc mỏng và yếu hơn răng vĩnh viễn nên tốc độ tiến triển sâu răng em bé rất nhanh, đặc biệt trong những năm đầu đời khi trẻ chưa có ý thức tự chăm sóc răng miệng.
Sâu răng em bé
2. Nguyên nhân khiến em bé dễ bị sâu răng
- Thói quen ăn uống nhiều đường: Sữa công thức, bánh kẹo, nước ngọt hay các loại thực phẩm chế biến sẵn chứa nhiều đường là “nguồn thức ăn lý tưởng” cho vi khuẩn gây sâu răng. Vi khuẩn chuyển hóa đường thành axit, làm mòn men răng của trẻ.
- Vệ sinh răng miệng chưa đúng cách: Nhiều cha mẹ chưa chú trọng việc làm sạch răng cho bé ngay từ khi răng sữa mới mọc. Việc không chải răng hoặc chải răng qua loa khiến mảng bám tích tụ lâu ngày.
- Thói quen ngậm bình sữa khi ngủ: Đây là nguyên nhân phổ biến gây sâu răng em bé. Sữa đọng lại trên răng suốt đêm tạo điều kiện cho vi khuẩn phát triển mạnh.
- Men răng yếu bẩm sinh” Một số trẻ có men răng kém do yếu tố di truyền hoặc thiếu khoáng chất trong thai kỳ, khiến răng dễ bị tổn thương hơn bình thường.
Nguyên nhân sâu răng
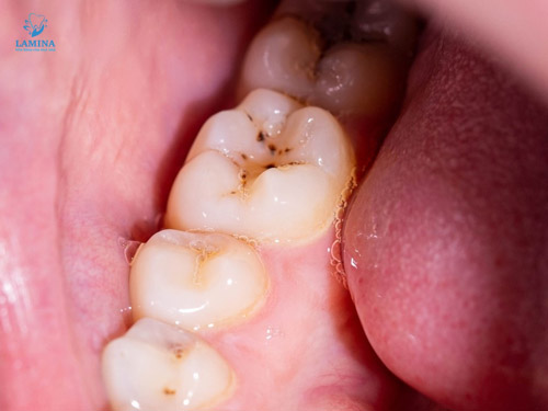
3. Dấu hiệu nhận biết sâu răng em bé
Việc phát hiện sớm đóng vai trò rất quan trọng. Cha mẹ có thể chú ý các dấu hiệu sau:
- Xuất hiện đốm trắng đục hoặc nâu nhạt trên bề mặt răng
- Răng có chấm đen nhỏ, bề mặt không còn nhẵn bóng
- Bé có biểu hiện đau nhẹ, khó chịu khi ăn đồ ngọt hoặc lạnh
- Hơi thở có mùi dù đã vệ sinh răng miệng
- Trẻ quấy khóc, bỏ ăn, nhai lệch một bên
Dấu hiệu sâu răng
Nhiều phụ huynh khi tìm kiếm hình ảnh sâu răng em bé thường khá bất ngờ vì tổn thương ban đầu rất nhỏ và dễ bị bỏ qua nếu không quan sát kỹ.
4. Bé bị sâu răng có nên điều trị sớm không?
Câu trả lời là có. Khi bé bị sâu răng, việc điều trị sớm giúp:
- Ngăn sâu răng lan rộng
- Giảm đau và khó chịu cho trẻ
- Bảo tồn răng sữa đến khi thay răng tự nhiên
- Giữ khoảng cho răng vĩnh viễn mọc đúng vị trí
Việc trì hoãn điều trị có thể khiến quá trình can thiệp trở nên phức tạp và tốn kém hơn nhiều.
5. Cách chữa sâu răng ở trẻ em theo từng mức độ
5.1. Trường hợp sâu răng mới chớm
Bác sĩ có thể áp dụng các biện pháp nhẹ nhàng như:
- Bôi fluor tái khoáng men răng
- Hướng dẫn vệ sinh răng miệng đúng cách
- Theo dõi định kỳ để kiểm soát tiến triển sâu răng
Sâu răng mới chớm
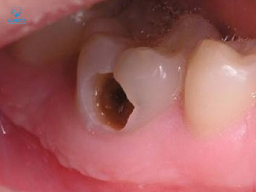
5.2. Trường hợp đã hình thành lỗ sâu
- Trám răng sữa bằng vật liệu an toàn
- Làm sạch mô răng bị tổn thương
- Giảm nguy cơ viêm tủy
Sâu răng hình thành lỗ sâu
5.3. Trường hợp sâu răng nặng
- Điều trị tủy răng sữa nếu cần
- Nhổ răng trong trường hợp không thể bảo tồn, kèm khí cụ giữ khoảng để tránh xô lệch răng sau này
Việc lựa chọn phương pháp điều trị sẽ phụ thuộc vào độ tuổi, mức độ hợp tác của trẻ và tình trạng răng cụ thể.
Sâu răng nặng
6. Cách phòng ngừa sâu răng cho em bé hiệu quả
- Làm sạch răng nướu cho trẻ ngay từ khi răng mới mọc
- Chải răng cho bé 2 lần/ngày với kem đánh răng phù hợp độ tuổi
- Hạn chế đồ ăn ngọt, đặc biệt trước khi ngủ
- Không cho trẻ ngậm bình sữa ban đêm
- Đưa trẻ đi khám răng định kỳ 6 tháng/lần
Phòng ngừa đúng cách giúp giảm đáng kể nguy cơ sâu răng em bé và tiết kiệm chi phí điều trị về sau.
7. Kết luận
Sâu răng em bé là vấn đề răng miệng không nên xem nhẹ, bởi nó ảnh hưởng trực tiếp đến sức khỏe, sự phát triển và cả tâm lý của trẻ. Việc phát hiện sớm, điều trị đúng cách và xây dựng thói quen chăm sóc răng miệng khoa học chính là chìa khóa giúp trẻ có hàm răng khỏe mạnh ngay từ những năm đầu đời.
Tại nha khoa Lamina, chúng tôi luôn chú trọng điều trị răng trẻ em theo hướng nhẹ nhàng – an toàn – bảo tồn tối đa răng sữa, giúp bé thoải mái và không sợ hãi khi đi khám răng.
Nếu cha mẹ đang lo lắng về tình trạng răng miệng của con, hãy đưa bé đến Lamina để được bác sĩ chuyên môn thăm khám và tư vấn giải pháp phù hợp, đồng hành cùng nụ cười khỏe mạnh của trẻ ngay từ hôm nay.
Tham khảo bảng giá dịch vụ tại Lamina. Mọi thông tin đặt lịch nhắn qua zalo, fanpage, tiktok hoặc điền form tại website.


Có thể bạn quan tâm:
Sâu Răng Hàm Có Lỗ Và Cách Điều Trị Hiệu Quả
Sâu răng là bệnh lý răng miệng phổ biến ở mọi
Niềng răng tại Nha khoa Lamina giá bao nhiêu? Cập nhật bảng giá mới nhất
Chi phí luôn là vấn đề được quan tâm hàng đầu
Răng bị nứt: Nguyên nhân, mức độ nguy hiểm và cách xử lý đúng chuẩn nha khoa
Răng bị nứt không phải lúc nào cũng đau dữ dội,
Răng giả silicon là gì? Có nên sử dụng răng giả silicon không?
Răng giả silicon là một trong những giải pháp phục hình
Niềng răng có được vĩnh viễn không? Sự thật ai cũng nên biết trước khi chỉnh nha
Niềng răng không còn là chuyện “xa xỉ” hay chỉ dành
Nha Khoa Lamina Thông Báo Điều Chỉnh Giá Dịch Vụ 2026: Nâng Tầm Chất Lượng Trải Nghiệm
1. Tại sao Nha Khoa Lamina thông báo điều chỉnh giá