Hàm duy trì là một loại khí cụ được bác sĩ yêu cầu người sau khi tháo niềng cần phải đeo để đảm bảo sự ổn định tại vị trí mới của răng. Tùy vào từng tình trạng mỗi người mà bác sĩ sẽ tư vấn cho bệnh nhân đeo các loại hàm duy trì phù hợp.
1. Vì sao cần đeo hàm duy trì sau khi niềng răng?
Sau khi kết thúc quá trình niềng răng, bác sĩ sẽ yêu cầu phải đeo một máng duy trì một thời gian nữa bởi vì răng và khung xương hàm được “chạy” suốt cả một hành trình dài để về đúng vị trí mà ta mong muốn. Nên khi tháo niềng mà không có rào cản nào thì răng sẽ có xu hướng chạy lại về vị trí ban đầu. Vì vậy nên mới cần phải đeo hàm duy trì sau niềng để răng và nướu trở nên ổn định hơn. Sau khi kết thúc bạn có thể tự tin hơn rất nhiều với nụ cười của bản thân.
2. Hàm duy trì có mấy loại
Cũng như các phương pháp niềng răng thì hàm duy trì cũng có rất nhiều sự lựa chọn cho bạn. Hiện nay có 3 loại là: Hàm duy trì tháo lắp bằng khay nhựa trong suốt, Hàm tháo lắp bằng kim loại, Hàm duy trì.
2.1 Hàm tháo lắp bằng khay nhựa trong suốt
Bác sĩ chỉnh nha sẽ kiểm tra, lấy mẫu hàm và gửi Labo để có thể làm ra hai hàm đeo cho khách hàng. Đây cũng là loại hàm được ưa chuộng nhất hiện nay, được làm từ nhựa trong suốt, an toàn với người. Khay này sẽ ôm sát với răng hiện tại của bạn.
Ưu điểm
- Tính thẩm mỹ cao: hàm tháo lắp nhựa được ưa chuộng bởi tính thẩm mỹ giúp bạn có thể tự tin khi giao tiếp với tất cả mọi người.
- Dễ dàng vệ sinh: với sự chủ động trong tháo lắp, giúp bạn tháo ra được khi ăn uống giúo bạn ăn nhai thoải mái hơn và cũng giúp việc vệ sinh răng miệng của bạn trở nên dễ dàng hơn.
Nhược điểm
- Cũng là ưu điểm mà cũng chính là một nhược điểm nhỏ vì sự thuận tiện, dễ dàng tháo lắp làm bản thân người đeo thường quên mang theo. Đây cũng là một phần sẽ làm thời gian đeo hàm được đảm bảo, ảnh hưởng đến quá trình đảm bảo kết quả niềng răng.

2.2 Hàm tháo lắp bằng kim loại
Hàm tháo lắp bằng kim loại được làm từ thép không gỉ, hàm duy trì tháo lắp kim loại được trang bị tháo lắp tiện lợi, với nguyên lý gắn vào giữa vị trí răng số 3 và 4 để cố định giúo răng không dịch chuyển
Ưu điểm
- Hiệu quả cao: được làm từ kim loại nên hiệu quả của hàm tháo lắp kim loại cũng mang lại sự ổn định cho răng không bị xê dịch.
- Tiện lợi: do được thiết kế có thể tháo lắp nên có thể tiện lợi tháo ra khi ăn uống hoặc chơi thể thao
Nhược điểm:
- Tính thẩm mỹ thấp: do được thiết kế bằng kim loại nên thường được khuyến khích đeo vào buổi tối.
- Thời gian đeo hàm duy trì: do không có tính thẩm mỹ cao nên nếu đeo buổi sáng bạn sẽ khá tự ti khi giao tiếp. Vậy nên thường được khuyến khích đeo vào buổi tối. Nhưng vì thời gian đeo hàm duy trì trong ngày khá ít nên khả năng răng di chuyển lệch lạc khá cao.

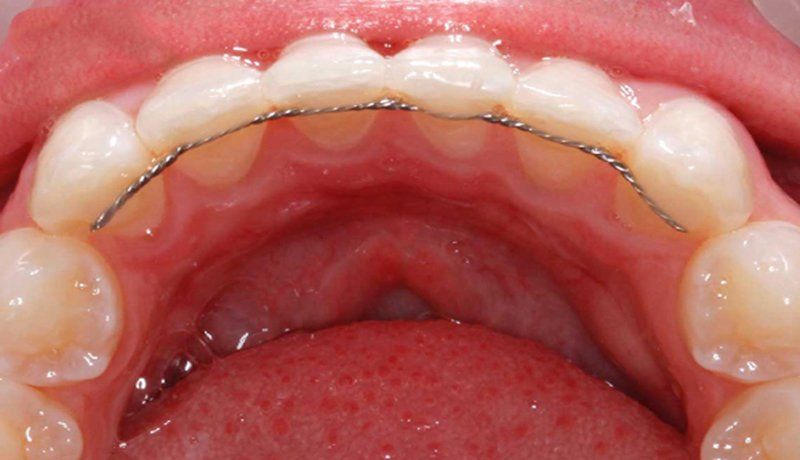
2.3 Hàm cố định
Hàm cố định được làm từ thép không gỉ, có hình dạng giống như dây cung được gắn cố định mặt trong của răng bằng keo y khoa. Giúp răng được cố định không xê dịch trong quá trình đeo hàm duy trì.
Ưu điểm
- Tính thẩm mỹ: Với tính chất gắn mặt trong của răng, giúp bạn thoải mái trong quá trình giao tiếp mà không sợ lộ hàm duy trì
- Tính hiệu quả: Được cố định trên răng, đồng thời làm từ nguyên liệu kim loại do đó lực tác động sẽ ổn định cao, giúp răng được cố định một cách chắc chắn hơn.
- Thời gian đeo hàm duy trì được rút ngắn: Khi được cố định trên răng 24/24 giúp khoảng thời gian ” gắn kết ” răng và nướu được tối ưu hoàn toàn. Vì thế, thời gian đeo hàm duy trì sẽ được rút ngắn hơn rất nhiều
Nhược điểm
- Không phải trường hợp nào cũng có thể làm được hàm cố định
- Vệ sinh răng mất thời gian: dù đeo hay không, việc vệ sinh răng miệng là một điều rất quan trọng. Tuy nhiên, được gắn vào mặt trong vì vậy việc vệ sinh cần chú ý và cẩn thận đảm bảo loại bỏ được lượng thức ăn còn mắc trên răng và hàm duy trì.
- Cảm giác cộm: Khi vừa đeo hàm duy trì bên trong bề mặt răng, sẽ làm bạn cảm thấy cộm và khó chịu. Tuy nhiên, sau 5 – 7 ngày đầu tiên bạn sẽ thoát khỏi cảm giác này.

3. Vậy cần phải đeo trong ít nhất bao nhiêu lâu?
Thường cần phải đeo từ 6 – 12 tháng sau khi tháo niềng. Tuy nhiên, tùy thuộc tình trạng răng mà thời gian đeo hàm sẽ thay đổi:
- Đối với răng khỏe, nướu khỏe: thời gian đeo hàm duy trì thường sẽ ngắn hơn, nếu đảm bảo thời gian mang hàm trên 12h/ngày thì thời gian có thể rút ngắn lại dao động từ 6 – 9 tháng .
- Đối với răng yếu, nướu yếu: Đối với trường hợp này, răng có xu hướng dịch chuyển nhiều hơn, khó cố định. Vì vậy thời gian có thể thay đổi kéo dài lên đến tháng 12 tháng hoặc hơn.
- Với trường hợp đã đeo hàm trên 1 năm. Bác sĩ sẽ xem xét giảm thời gian đeo trong tuần xuống từ 3 – 4 ngày 1 tuần.
Cảm ơn bạn đã đọc bài viết của Nha Khoa Quốc Tế Lamina. Mọi thắc mắc xin liên hệ hotline 089 8838 666
Địa chỉ:
-
Trụ sở Lamina: Số 11-15 Tổ 4 Thị trấn Đông Anh – Đông Anh – Hà Nội (Đối diện Chợ Trung tâm Đông Anh)
-
Cơ sở 1: Số 12 – 14 Nguyên Khê – Đông Anh – Hà Nội (Ngã tư Nguyên Khê)
Hotline: 089 8838 666
Email: nhakhoalamina@gmail.com
Fanpage: https://www.facebook.com/nhakhoaLAMINA


Có thể bạn quan tâm:
Lấy cao răng có lâu không? Giải đáp chi tiết từ A–Z cho người lần đầu đi nha khoa
Nếu bạn đang gõ Google câu hỏi “lấy cao răng có
Răng thỏ hô là gì? Răng thỏ có bị hô không và cách khắc phục hiệu quả
Bạn từng được khen “răng thỏ nhìn dễ thương” nhưng lại
Trồng răng Implant là gì? Có nên trồng răng Implant không?
Mất răng không chỉ khiến nụ cười kém tự tin mà
U men răng là gì? Dấu hiệu nhận biết và cách điều trị kịp thời
U men răng là một trong những bệnh lý răng hàm
Men răng là gì? Nguyên nhân men răng yếu và cách khắc phục hiệu quả
Men răng đóng vai trò như “lớp áo giáp” bảo vệ
Áp xe răng là gì? Dấu hiệu, nguyên nhân và cách điều trị an toàn, hiệu quả
Áp xe răng không phải là đau răng thông thường. Đây