Bạn đã từng đánh răng mà nướu chảy máu liên tục, hơi thở khó chịu dù đã súc miệng hoài? Rất có thể đó không chỉ là viêm lợi thông thường, mà là viêm nha chu nặng — một tình trạng nhiều người chủ quan, để đến lúc răng lung lay mới tá hỏa tìm bác sĩ.
Thực tế, viêm nha chu nặng không tự khỏi. Nó tiến triển âm thầm, phá huỷ nướu, tiêu xương hàm và khiến răng mất đi chỗ bám chắc. Nói thẳng: viêm nha chu càng nặng thì khả năng mất răng thật càng cao. Trong 2 câu đầu, từ khóa đã có — đúng yêu cầu SEO.
Nếu bạn thấy mình đang gặp các dấu hiệu như sưng nướu, răng lung lay, hơi thở hôi dai dẳng… hãy đọc tiếp. Bài viết này sẽ giúp bạn hiểu rõ viêm nha chu nặng là gì, vì sao nguy hiểm và phải điều trị thế nào mới đúng cách.
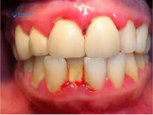
1. Viêm nha chu nặng là tình trạng gì?
Tình trạng viêm nha nhu
Viêm nha chu nặng là giai đoạn tiến triển của bệnh viêm nha chu — khi vi khuẩn đã phá huỷ nướu, dây chằng nha chu và cả xương nâng đỡ răng. Ở mức độ nặng, các túi nha chu sâu hơn 5–7mm, mủ xuất hiện quanh nướu, và răng bắt đầu lung lay rõ rệt.
Giải thích nhanh cho dễ hiểu:
-
“Nha chu” = hệ thống nâng đỡ răng (nướu – dây chằng – xương).
-
“Viêm nha chu nặng” = toàn bộ hệ thống này bị phá huỷ mạnh.
-
Răng vẫn còn… nhưng không còn chỗ bám vững.
Dấu hiệu thường gặp:
-
Hơi thở hôi nhiều dù đã vệ sinh kỹ.
-
Nướu đỏ, sưng, chảy máu khi chải răng.
-
Có mủ quanh nướu.
-
Răng lung lay nhẹ đến nhiều.
-
Khoảng cách giữa răng rộng hơn, thưa dần.
-
Cảm giác “ngứa ngứa”, khó chịu trong miệng.
Ví dụ thực tế:
Một chị 32 tuổi đến Lamina khám với tình trạng răng số 6 lung lay “nhẹ nhẹ”. Chụp phim mới biết xương hàm tiêu đến 40% — dấu hiệu viêm nha chu nặng điển hình. Chị chia sẻ: “Em tưởng bị viêm nướu nhẹ thôi, ai dè ra nông nỗi này.”
Nếu không điều trị?
-
Răng lung lay cấp độ 2, 3 → buộc phải nhổ.
-
Tiêu xương hàm nặng → khó trồng implant.
-
Miệng hôi bất chấp mọi biện pháp tại nhà.
2. Nguyên nhân khiến viêm nha chu nặng trở nên trầm trọng
Nguyên nhân viêm nha chu
Không ai bị viêm nha chu nặng trong một đêm. Nó là hệ quả của nhiều tháng – nhiều năm vệ sinh sai, chủ quan và không thăm khám định kỳ.
Mảng bám – cao răng tích tụ lâu ngày
Đây là thủ phạm số 1. Mảng bám không được làm sạch sẽ cứng lại thành cao răng. Cao răng chứa hàng triệu vi khuẩn gây viêm.
-
Cao răng kéo nướu xuống → tạo túi sâu.
-
Túi sâu chứa vi khuẩn → nướu viêm nặng.
-
Lâu dần → viêm nha chu nặng xuất hiện.
Ví dụ: Có những ca ở Lamina sau khi cạo cao răng, túi nha chu sâu đến 7mm, có mủ — chứng tỏ viêm đã tiến triển lâu.
Hút thuốc lá
Nicotine làm giảm lưu thông máu ở nướu → viêm âm thầm, không đau nhiều nhưng phá hoại mạnh.
Tỉ lệ bệnh nha chu nặng ở người hút thuốc cao gấp 2–3 lần.
Chải răng sai cách
-
Chải ngang làm tụt nướu.
-
Không chải mặt trong răng → vi khuẩn bám dày.
-
Không dùng chỉ nha khoa → mảng bám mắc giữa kẽ.
Răng khấp khểnh, sai khớp cắn
Răng lệch làm việc vệ sinh khó khăn, mảng bám tích tụ ở những vùng chải không tới → viêm nha chu tiến triển nhanh.
Bệnh nền (tiểu đường, giảm đề kháng)
Cơ thể dễ viêm nhiễm hơn → viêm nha chu nặng phát triển nhanh và khó kiểm soát hơn.
Hậu quả nếu không xử lý nguyên nhân:
-
Nướu ngày càng co rút.
-
Xương hàm tiêu mạnh.
-
Hơi thở hôi kéo dài.
-
Răng mất hàng loạt.
3. Viêm nha chu nặng có nguy hiểm không?
Viêm nha chu nặng
Nguy cơ mất răng rất cao
Khi xương đã tiêu, dây chằng bị phá hủy → răng lung lay theo từng nhịp nhai. Ở giai đoạn nặng, chỉ cần cắn đồ hơi cứng đã nghe “kêu rốp”.
Ảnh hưởng cả cơ thể, không chỉ miệng
Vi khuẩn từ vùng nha chu nặng có thể lan qua đường máu, làm tăng nguy cơ:
-
bệnh tim mạch
-
tiểu đường trở nặng
-
sinh non (ở phụ nữ mang thai)
Hơi thở hôi kéo dài
Ngay cả khi đánh răng 3 lần/ngày vẫn không hết, vì gốc vấn đề nằm ở sâu dưới nướu.
Thẩm mỹ xuống cấp
Nướu tụt → răng dài ra → nhìn già hơn vài tuổi.
Ví dụ lâm sàng:
Nhiều bệnh nhân tại Lamina khi đến khám đã mất 2–4 răng vì chủ quan “chắc không sao đâu”. Đến lúc phát hiện thì xương tiêu quá nhiều, không còn cách giữ răng thật.
4. Cách điều trị viêm nha chu nặng hiệu quả hiện nay
Cách điều trị viêm nha chu
Điều trị viêm nha chu nặng không thể chỉ “đánh răng kỹ hơn”. Cần quy trình chuyên sâu để làm sạch tận gốc túi nha chu và phục hồi vùng bị viêm.
Lấy cao răng & xử lý gốc răng (SRP)
Là bước đầu tiên và bắt buộc:
-
Làm sạch cao răng trên nướu.
-
Dùng máy siêu âm làm sạch mặt gốc răng dưới nướu.
-
Giảm viêm – giảm mủ – giảm mùi hôi.
Điều trị nha chu chuyên sâu
Dành cho túi nha chu 5–7mm:
-
Bác sĩ mở nướu nhẹ để làm sạch toàn bộ mảng bám sâu.
-
Loại bỏ mô viêm.
-
Có thể kết hợp thuốc kháng viêm tại chỗ.
Cố định răng lung lay
Nếu răng lung lay do viêm nha chu nặng, bác sĩ sẽ dùng dây composite để cố định răng, giúp răng ổn định trong thời gian điều trị.
Ghép xương – ghép nướu (nếu cần)
Khi xương đã tiêu nhiều, bác sĩ có thể ghép xương để cải thiện độ vững.
Nhổ răng & trồng implant
Khi răng đã mất khả năng giữ, giải pháp an toàn nhất là trồng implant. Tuy nhiên phải điều trị viêm nha chu xong mới thực hiện được.
Điều trị tại Nha khoa Lamina
Tại Lamina, các ca viêm nha chu nặng được điều trị theo phác đồ chuẩn, kết hợp công nghệ siêu âm Piezotome và laser hỗ trợ lành thương nhanh. Bác sĩ theo dõi từng túi nha chu để đánh giá tiến triển.
5. Phòng ngừa viêm nha chu nặng tái phát
Đánh răng đúng kỹ thuật
-
Chải dọc hoặc xoay tròn, không chà ngang.
-
2 phút/lần – 2 lần/ngày.
Dùng chỉ nha khoa hằng ngày
Chỉ nha khoa là vũ khí số 1 chống viêm nha chu.
Khám và lấy cao răng 3–6 tháng/lần
Để bác sĩ kiểm tra sớm túi nha chu bất thường.
Bỏ thuốc lá
Giảm nguy cơ viêm nha chu nặng xuống đáng kể.
Điều trị sớm ngay khi có dấu hiệu
Chảy máu nướu, hôi miệng, hơi nhai đau → đi khám liền.
Kết luận
Viêm nha chu nặng không phải vấn đề nhỏ — nó là nguyên nhân hàng đầu khiến người lớn mất răng sớm. Càng phát hiện muộn, việc điều trị càng phức tạp, tốn thời gian và chi phí. Nếu bạn đang nghi ngờ mình gặp tình trạng này, đừng ngần ngại đến Nha khoa Lamina để được bác sĩ kiểm tra túi nha chu, đánh giá mức độ tiêu xương và đưa ra hướng điều trị phù hợp nhất.
Giữ răng thật không khó — chỉ cần bạn đừng chờ đến khi răng lung lay mới lo.
Tham khảo bảng giá dịch vụ tại Lamina. Mọi thông tin đặt lịch nhắn qua zalo, fanpage, tiktok hoặc điền form tại website.


Có thể bạn quan tâm:
Niềng răng tại Nha khoa Lamina giá bao nhiêu? Cập nhật bảng giá mới nhất
Chi phí luôn là vấn đề được quan tâm hàng đầu
Răng bị nứt: Nguyên nhân, mức độ nguy hiểm và cách xử lý đúng chuẩn nha khoa
Răng bị nứt không phải lúc nào cũng đau dữ dội,
Răng giả silicon là gì? Có nên sử dụng răng giả silicon không?
Răng giả silicon là một trong những giải pháp phục hình
Niềng răng có được vĩnh viễn không? Sự thật ai cũng nên biết trước khi chỉnh nha
Niềng răng không còn là chuyện “xa xỉ” hay chỉ dành
Nha Khoa Lamina Thông Báo Điều Chỉnh Giá Dịch Vụ 2026: Nâng Tầm Chất Lượng Trải Nghiệm
1. Tại sao Nha Khoa Lamina thông báo điều chỉnh giá
Niềng răng silicon cho bé: 7 lợi ích chỉnh nha vượt trội
Niềng răng silicon cho bé đang là phương pháp chỉnh nha