1. Viêm nha chu là bị gì?
Viêm nha chu là tình trạng viêm nhiễm mô nâng đỡ quanh răng – bao gồm nướu, dây chằng, xương ổ răng và cement chân răng.
Khi vi khuẩn tích tụ lâu ngày ở chân răng không được làm sạch, chúng sẽ gây phản ứng viêm, làm tổn thương mô mềm và tiêu dần xương quanh răng.
Nói một cách dễ hiểu, viêm nha chu là giai đoạn nặng hơn của viêm nướu, khi nướu không còn bám chắc vào răng, dẫn đến tụt lợi, tiêu xương và răng lung lay.
Nếu không được điều trị, bệnh có thể dẫn đến mất răng vĩnh viễn, ảnh hưởng nghiêm trọng đến sức khỏe răng miệng và thẩm mỹ khuôn mặt.
Biểu hiện viêm nha chu
2. Nguyên nhân gây viêm nha chu
Nguyên nhân chính của viêm nha chu là mảng bám vi khuẩn – lớp màng dính chứa hàng triệu vi sinh vật tích tụ quanh răng và nướu.
Khi không được làm sạch hằng ngày, mảng bám sẽ vôi hóa thành cao răng, tạo điều kiện cho vi khuẩn phát triển mạnh mẽ dưới nướu.
Ngoài ra, một số yếu tố làm tăng nguy cơ viêm nha chu gồm:
– Vệ sinh răng miệng kém.
– Hút thuốc lá – giảm lưu thông máu ở nướu, khiến mô lợi dễ tổn thương.
– Bệnh lý toàn thân như tiểu đường, tim mạch, rối loạn miễn dịch.
– Răng khấp khểnh, chen chúc – khó làm sạch triệt để.
– Trám, bọc răng sai kỹ thuật – gây đọng thức ăn và vi khuẩn.
– Thay đổi nội tiết tố (phụ nữ mang thai, tiền mãn kinh).
Theo thống kê, hơn 70% người trưởng thành trên 30 tuổi có dấu hiệu viêm nha chu ở các mức độ khác nhau – và hầu hết không biết mình đang mắc bệnh.
Nguyên nhân viêm nha chu
3. Dấu hiệu nhận biết viêm nha chu
Viêm nha chu tiến triển âm thầm, nhưng có thể nhận ra qua một số dấu hiệu đặc trưng sau:
– Giai đoạn sớm – viêm nướu:
- Nướu sưng đỏ, đau nhẹ khi chải răng.
- Chảy máu khi đánh răng hoặc dùng chỉ nha khoa.
- Hơi thở hôi, miệng có vị tanh khó chịu.
– Giai đoạn nặng – viêm nha chu:
- Nướu tụt xuống, răng trông dài hơn.
- Răng lung lay, đặc biệt khi nhai hoặc gõ nhẹ.
- Có mủ chảy ra từ nướu hoặc kẽ răng.
- Khoảng cách giữa các răng thưa dần.
- X-quang cho thấy xương quanh răng bị tiêu.
Nếu không can thiệp kịp thời, bệnh sẽ phá hủy mô nha chu và làm răng rụng hàng loạt, dù răng hoàn toàn không bị sâu.
Giai đoạn viêm nha chu
4. Viêm nha chu có nguy hiểm không?
Câu trả lời là rất nguy hiểm.
Nhiều người chủ quan cho rằng “viêm lợi thì chỉ cần súc miệng muối là khỏi”, nhưng thực tế viêm nha chu có thể gây ra những hậu quả nghiêm trọng:
- Mất răng hàng loạt: do tiêu xương ổ răng, dây chằng quanh răng bị phá hủy.
- Ảnh hưởng thẩm mỹ: tụt lợi, răng dài, hở kẽ, khuôn miệng già hơn tuổi.
- Hôi miệng mãn tính: do ổ vi khuẩn nằm sâu dưới nướu.
- Tác động toàn thân: vi khuẩn nha chu có thể đi vào máu, liên quan đến bệnh tim mạch, tiểu đường, sinh non, đột quỵ.
Một khi xương nâng đỡ răng đã tiêu, không thể tái tạo hoàn toàn tự nhiên, do đó điều trị sớm là cách duy nhất để giữ lại răng thật.
Viêm nha chu khiến mất thẩm mỹ
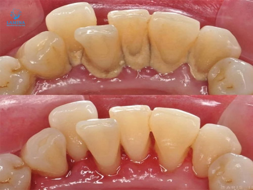
5. Cách điều trị viêm nha chu tại Nha khoa Lamina
Tại Nha khoa Lamina, việc điều trị viêm nha chu được thực hiện theo phác đồ chuyên sâu, tùy vào mức độ bệnh:
– Giai đoạn nhẹ – Trung bình
- Lấy cao răng và xử lý mảng bám dưới nướu (Scaling & Root Planing) bằng máy siêu âm chuyên dụng.
- Sát khuẩn túi nha chu, làm sạch ổ viêm.
- Kết hợp dùng thuốc kháng viêm, kháng sinh và nước súc miệng đặc trị.
Mục tiêu: loại bỏ vi khuẩn – giúp nướu tái bám chắc vào răng.
– Giai đoạn nặng
- Phẫu thuật nướu (Flap Surgery): bóc tách nướu, làm sạch túi nha chu sâu, cạo mô viêm, ghép nướu hoặc ghép xương khi cần.
- Điều trị phục hồi: trồng răng Implant nếu mất răng, đảm bảo thẩm mỹ và chức năng nhai.
Tại Lamina, các ca điều trị nha chu được bác sĩ chuyên sâu nha chu & phẫu thuật nướu thực hiện trong điều kiện vô trùng tuyệt đối, đảm bảo an toàn và hiệu quả lâu dài.
6. Cách phòng ngừa viêm nha chu tái phát
- Chải răng 2–3 lần/ngày bằng bàn chải lông mềm.
- Dùng chỉ nha khoa hoặc máy tăm nước thay vì xỉa tăm.
- Súc miệng kháng khuẩn sau mỗi bữa ăn.
- Lấy cao răng định kỳ 6 tháng/lần tại nha khoa uy tín.
- Ngưng hút thuốc lá, kiểm soát đường huyết nếu có tiểu đường.
- Khám nha chu sớm nếu thấy nướu chảy máu hoặc hôi miệng kéo dài.
Phòng bệnh bao giờ cũng nhẹ nhàng và ít tốn kém hơn chữa bệnh – đặc biệt là với bệnh lý nha chu.
Kết luận
Hiểu đúng về viêm nha chu là bị gì sẽ giúp bạn chủ động phát hiện sớm và điều trị kịp thời, tránh mất răng đáng tiếc.
Nếu bạn đang gặp tình trạng nướu sưng đỏ, chảy máu, hơi thở hôi hoặc răng lung lay, hãy đến ngay Nha khoa Lamina để được bác sĩ kiểm tra và lên phác đồ điều trị chuyên sâu.
Tham khảo bảng giá dịch vụ tại Lamina. Mọi thông tin đặt lịch nhắn qua zalo, fanpage, tiktok hoặc điền form tại website.


Có thể bạn quan tâm:
Niềng răng tại Nha khoa Lamina giá bao nhiêu? Cập nhật bảng giá mới nhất
Chi phí luôn là vấn đề được quan tâm hàng đầu
Răng bị nứt: Nguyên nhân, mức độ nguy hiểm và cách xử lý đúng chuẩn nha khoa
Răng bị nứt không phải lúc nào cũng đau dữ dội,
Răng giả silicon là gì? Có nên sử dụng răng giả silicon không?
Răng giả silicon là một trong những giải pháp phục hình
Niềng răng có được vĩnh viễn không? Sự thật ai cũng nên biết trước khi chỉnh nha
Niềng răng không còn là chuyện “xa xỉ” hay chỉ dành
Nha Khoa Lamina Thông Báo Điều Chỉnh Giá Dịch Vụ 2026: Nâng Tầm Chất Lượng Trải Nghiệm
1. Tại sao Nha Khoa Lamina thông báo điều chỉnh giá
Niềng răng silicon cho bé: 7 lợi ích chỉnh nha vượt trội
Niềng răng silicon cho bé đang là phương pháp chỉnh nha