Bạn có bao giờ soi gương và thấy răng mình trông dài hơn, phần lợi bị “rút” lên cao, lộ cả chân răng? Nếu có, rất có thể bạn đang gặp tình trạng tụt lợi nặng — vấn đề tưởng nhỏ nhưng lại ảnh hưởng lớn đến sức khỏe răng miệng.
Tụt lợi không chỉ khiến răng trông mất thẩm mỹ mà còn gây ê buốt, dễ viêm nhiễm và có nguy cơ mất răng thật nếu không được xử lý sớm. Nhiều người chỉ nhận ra khi lợi đã tụt sâu, lộ chân răng rõ rệt và đau rát khi chải răng. Vậy nguyên nhân do đâu và làm sao để điều trị hiệu quả? Hãy cùng Nha khoa Lamina tìm hiểu ngay sau đây.
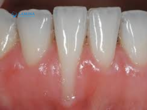
1. Tụt lợi nặng là tình trạng gì?
Tình trạng tụt lợi nặng
Tụt lợi nặng là khi mô nướu quanh răng bị kéo lùi xuống dưới, để lộ chân răng nhiều hơn mức bình thường. Khi tình trạng này tiến triển nặng, phần chân răng không còn được bảo vệ bởi nướu, gây ra cảm giác ê buốt, răng dài và dễ lung lay.
Về mặt chuyên môn, tụt lợi là biểu hiện của sự tổn thương mô nướu và dây chằng quanh răng – những cấu trúc giúp cố định răng trong xương ổ răng. Ở mức độ nhẹ, lợi chỉ tụt nhẹ ở 1–2 răng; nhưng khi tụt lợi nặng, toàn bộ cung hàm có thể bị ảnh hưởng.
Ví dụ, nhiều bệnh nhân đến Lamina trong tình trạng răng trước lộ chân rõ, lợi sưng đỏ và nhức khi ăn đồ nóng lạnh. Bác sĩ xác định đây là tụt lợi mức độ nặng do viêm nha chu tiến triển.
Nếu không điều trị, tụt lợi nặng có thể dẫn đến tiêu xương ổ răng, làm răng yếu và thậm chí rụng sớm.
2. Nguyên nhân khiến bạn bị tụt lợi nặng
Nguyên nhân bị tụt lợi nặng
Tình trạng tụt lợi nặng không xảy ra trong ngày một ngày hai mà là kết quả của nhiều yếu tố tác động lâu dài. Một số nguyên nhân phổ biến gồm:
- Viêm nha chu: Đây là thủ phạm hàng đầu. Vi khuẩn trong mảng bám phá hủy mô nướu và xương quanh răng, khiến lợi co rút dần.
Chải răng sai cách: Dùng bàn chải lông cứng hoặc chải quá mạnh khiến nướu bị mài mòn, tụt xuống theo thời gian.
Sai khớp cắn hoặc nghiến răng: Lực tác động bất thường khiến răng lung lay và lợi co lại.
Tuổi tác và thay đổi nội tiết: Lão hóa khiến mô nướu mỏng và yếu hơn, dễ tụt.
Thói quen hút thuốc, vệ sinh kém: Làm giảm lưu thông máu, khiến nướu dễ viêm và tiêu rút.
Thực tế, có những bệnh nhân nghĩ rằng lợi tụt chỉ do “tuổi già”, nhưng bác sĩ Lamina cho biết phần lớn trường hợp tụt lợi nặng là do viêm nha chu không được phát hiện sớm.
3. Tụt lợi nặng có nguy hiểm không?
Tác hại tụt lợi nặng
Câu trả lời là rất nguy hiểm nếu không được can thiệp kịp thời. Khi lợi đã tụt sâu, chân răng bị lộ ra ngoài, lớp ngà răng dễ bị mòn và vi khuẩn xâm nhập.
Biến chứng thường gặp:
-
Ê buốt, đau nhức khi ăn uống nóng – lạnh.
-
Răng dài và thưa, gây mất thẩm mỹ.
-
Viêm chân răng, chảy máu nướu.
-
Tiêu xương ổ răng, răng lung lay và có thể rụng.
Một bệnh nhân nữ 40 tuổi chia sẻ tại Lamina: “Ban đầu tôi chỉ thấy hơi ê, sau vài tháng răng trông dài hẳn và lợi tụt sâu. Đi khám mới biết là tụt lợi nặng do nha chu.” Sau khi điều trị nha chu và ghép lợi, tình trạng mới ổn định.
4. Cách điều trị tụt lợi nặng hiệu quả hiện nay
Cách điều trị tụt lợi nặng
Tùy nguyên nhân và mức độ tụt lợi nặng, bác sĩ sẽ chỉ định hướng điều trị phù hợp:
- Điều trị nha chu: Làm sạch mảng bám và cao răng sâu dưới nướu, giúp mô nướu ngừng tụt thêm.
- Ghép lợi: Áp dụng khi lợi tụt nhiều, giúp che phủ chân răng bằng mô nướu tự thân hoặc vật liệu sinh học.
- Chỉnh khớp cắn / Máng chống nghiến: Dành cho trường hợp tụt lợi do lực nhai sai.
- Chăm sóc và tái khám định kỳ: Đảm bảo nướu ổn định, không tái viêm.
Tại Nha khoa Lamina, các bác sĩ ứng dụng kỹ thuật ghép lợi bằng mô tự thân kết hợp laser nha chu giúp phục hồi nhanh, giảm đau và đảm bảo tính thẩm mỹ cao.
5. Phòng ngừa tụt lợi nặng tái phát
Sau điều trị, việc duy trì nướu khỏe là điều quan trọng nhất để ngăn tụt lợi nặng quay trở lại.
Một vài thói quen bạn nên thực hiện hằng ngày:
- Dùng bàn chải lông mềm, chải nhẹ theo chiều dọc.
- Sử dụng chỉ nha khoa hoặc máy tăm nước sau ăn.
- Khám răng định kỳ 6 tháng/lần để phát hiện sớm viêm nha chu.
- Hạn chế thuốc lá, đồ uống có cồn.
- Bổ sung vitamin C, canxi để tăng sức đề kháng mô nướu.
Nếu bạn thấy lợi đang tụt dần hoặc chân răng lộ rõ, đừng chần chừ. Việc đến Nha khoa Lamina để được bác sĩ kiểm tra, đánh giá tình trạng và hướng dẫn chăm sóc đúng cách sẽ giúp nướu bạn khỏe lại tự nhiên.
Kết luận
Tụt lợi nặng không chỉ làm bạn mất tự tin khi cười mà còn đe dọa đến răng thật nếu không chữa trị sớm. Điều trị kịp thời và chăm sóc đúng cách sẽ giúp nướu khỏe mạnh, răng vững chắc dài lâu.
Nếu bạn đang gặp tình trạng tụt lợi, hãy đến Nha khoa Lamina để được bác sĩ thăm khám, tư vấn và hướng dẫn phương pháp phục hồi nướu phù hợp nhất cho mình.\
Tham khảo bảng giá dịch vụ tại Lamina. Mọi thông tin đặt lịch nhắn qua zalo, fanpage, tiktok hoặc điền form tại website.


Có thể bạn quan tâm:
Niềng răng tại Nha khoa Lamina giá bao nhiêu? Cập nhật bảng giá mới nhất
Chi phí luôn là vấn đề được quan tâm hàng đầu
Răng bị nứt: Nguyên nhân, mức độ nguy hiểm và cách xử lý đúng chuẩn nha khoa
Răng bị nứt không phải lúc nào cũng đau dữ dội,
Răng giả silicon là gì? Có nên sử dụng răng giả silicon không?
Răng giả silicon là một trong những giải pháp phục hình
Niềng răng có được vĩnh viễn không? Sự thật ai cũng nên biết trước khi chỉnh nha
Niềng răng không còn là chuyện “xa xỉ” hay chỉ dành
Nha Khoa Lamina Thông Báo Điều Chỉnh Giá Dịch Vụ 2026: Nâng Tầm Chất Lượng Trải Nghiệm
1. Tại sao Nha Khoa Lamina thông báo điều chỉnh giá
Niềng răng silicon cho bé: 7 lợi ích chỉnh nha vượt trội
Niềng răng silicon cho bé đang là phương pháp chỉnh nha