Trị viêm nha chu tại nhà: Khi nào hiệu quả, khi nào phải đi nha sĩ?

Trị viêm nha chu tại nhà

1. Trị viêm nha chu tại nhà là gì?

Trị viêm nha chu tại nhà là tập hợp các biện pháp giúp giảm sưng nướu, chảy máu và hơi thở hôi bằng cách chăm sóc và hỗ trợ kiểm soát vi khuẩn ngay tại nhà. Những biện pháp này không thay thế điều trị nha chu chuyên sâu, nhưng đóng vai trò quan trọng trong việc ổn định tình trạng viêm, đặc biệt ở giai đoạn nhẹ.

Viêm nha chu xảy ra khi mảng bám và cao răng tích tụ quanh nướu, phá hủy mô nâng đỡ răng. Nếu không xử lý, bệnh dễ chuyển nặng và gây tụt nướu, lung lay răng.
Do đó, trị viêm nha chu tại nhà chỉ mang tính hỗ trợ, còn việc làm sạch sâu vẫn cần bác sĩ thực hiện.

2. 5 nguyên nhân khiến viêm nha chu tiến triển nặng

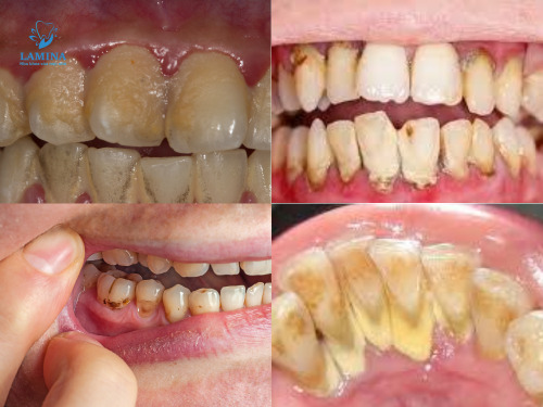
Đây là nguyên nhân phổ biến nhất khiến việc trị viêm nha chu tại nhà không đạt hiệu quả. Mảng bám lâu ngày tạo thành cao răng bám dưới nướu, gây viêm và chảy máu.

Dấu hiệu nhận biết:

  • Nướu đỏ, sưng
  • Chảy máu khi chải răng
  • Hơi thở hôi

Trị viêm nha chu tại nhà: Dấu hiệu nhận biết

mảng bám và cao răng tích tụ lâu ngày

2.1 Chải răng sai cách

Chải răng quá mạnh hoặc theo thói quen quét ngang không chỉ khiến nướu bị tổn thương mà còn làm cho mảng bám tích tụ nhiều hơn quanh đường nướu. Khi bạn quét ngang, đầu lông bàn chải không len vào được khe nướu – kẽ răng mà chỉ “đẩy” mảng bám sang bên, khiến vi khuẩn bám chặt lại và phát triển mạnh hơn. Lâu dần, vùng nướu trở nên sưng đỏ, dễ chảy máu và nhạy cảm.

Vì vậy, dù bạn có trị viêm nha chu tại nhà bằng nước muối, chỉ nha khoa hay gel bôi đến mức nào đi nữa thì tình trạng vẫn khó cải thiện.
Trị viêm nha chu tại nhà: Chải răng sai cách

Chải răng với lực quá mạnh gây chảy máu

2.2. Hút thuốc lá

Nicotine trong thuốc lá làm co mạch, giảm lưu lượng máu nuôi nướu và khiến mô nướu suy yếu theo thời gian. Khi nướu không được nuôi dưỡng đầy đủ, khả năng tự hồi phục giảm mạnh, khiến tình trạng viêm kéo dài và khó dứt điểm. Vì vậy, dù bạn có áp dụng nhiều phương pháp trị viêm nha chu tại nhà, hiệu quả vẫn rất hạn chế. Viêm thường tái phát nhanh, sưng đỏ nhiều hơn và tiến triển âm thầm mà bạn không nhận ra.

Trị viêm nha chu tại nhà: Hút thuốc lá

Hút thuốc lá

2.3. Răng lệch, chen chúc

Ở những người có răng lệch, chen chúc hoặc khấp khểnh, các khe răng trở thành nơi “trú ngụ lý tưởng” của mảng bám và vi khuẩn. Đây là những vùng mà bàn chải rất khó tiếp cận, dù bạn chải kỹ đến đâu. Khi vi khuẩn tích tụ lâu ngày, viêm nha chu dễ bùng phát mạnh hơn bình thường. Đây chính là nguyên nhân khiến việc trị viêm nha chu tại nhà ở nhóm đối tượng này thường chỉ cải thiện được một phần nhỏ, còn gốc rễ viêm vẫn tồn tại trong các vị trí khó làm sạch.

Trị viêm nha chu tại nhà: Răng chen chúc, mọc lệch

Răng mọc lệch, chen chúc

2.4. Bệnh lý toàn thân

Những yếu tố toàn thân như tiểu đường, thiếu vitamin C, hệ miễn dịch suy giảm hoặc stress kéo dài đều khiến cơ thể phản ứng với viêm chậm hơn. Lúc này, nướu rất dễ bị tổn thương và quá trình lành thương cũng diễn ra chậm chạp. Thậm chí, chỉ một lượng nhỏ mảng bám cũng có thể gây viêm nặng. Vì vậy, dù bạn duy trì đều đặn các bước trị viêm nha chu tại nhà, tình trạng bệnh vẫn có thể tiến triển xấu nếu không xử lý đồng thời các vấn đề sức khỏe nền.

Trị viêm nha chu tại nhà: Bệnh lý toàn thân

Các bệnh lý thông thường lại là nguyên nhân làm tình trạng viêm dai dẳng không dứt

3. Viêm nha chu có thể tự khỏi khi trị tại nhà không?

Các phương pháp trị viêm nha chu tại nhà chỉ giúp giảm triệu chứng tạm thời, không thể làm sạch cao răng và túi nha chu nằm sâu dưới nướu. Nếu không điều trị kịp thời, bệnh có thể gây:

  • Tụt nướu
  • Răng lung lay
  • Hơi thở hôi kéo dài
  • Mất răng

Do đó, trị viêm nha chu tại nhà chỉ phù hợp khi kết hợp với thăm khám định kỳ tại nha sĩ.

4. Cách trị viêm nha chu tại nhà hiệu quả

4.1. Chải răng đúng kỹ thuật

  • Áp dụng phương pháp Bass giúp làm sạch đường viền nướu.
  • Áp dụng phương pháp chải răng Bass nghĩa là bạn đặt bàn chải hơi nghiêng một góc khoảng 45 độ, hướng đầu lông bàn chải vào phần tiếp giáp giữa răng và nướu. Sau đó, thay vì chà qua lại mạnh, bạn chỉ cần rung nhẹ – xoay nhẹ để lông bàn chải luồn xuống làm sạch mảng bám ở viền nướu.
  • Đây là vị trí mà vi khuẩn bám nhiều nhất nhưng cũng là nơi bàn chải thông thường khó làm sạch. Nếu không làm sạch được vùng này, viêm nướu và viêm nha chu sẽ rất dễ tái phát.
  • Vì vậy, kỹ thuật Bass được xem là bước quan trọng trong trị viêm nha chu tại nhà, vì nó giúp loại bỏ mảng bám ngay tại “gốc rễ” của bệnh – vùng viền nướu. Chải đúng cách còn giúp nướu bớt sưng đỏ, giảm chảy máu và hạn chế vi khuẩn tích tụ trở lại.

4.2. Dùng chỉ nha khoa thay cho tăm xỉa

Chỉ nha khoa là công cụ giúp làm sạch những mảng bám thức ăn kẹt ở kẽ răng mà bàn chải không chạm tới. Nghiên cứu cho thấy chỉ nha khoa có thể giảm đến 70% mảng bám – yếu tố chính gây viêm nướu. Vì vậy, việc dùng chỉ nha khoa đều đặn là một thói quen cực kỳ quan trọng trong mọi phương pháp trị viêm nha chu tại nhà, giúp ngăn ngừa vi khuẩn phát triển và nướu sưng đỏ.

4.3. Súc miệng nước muối sinh lý

Nước muối ấm có tác dụng sát khuẩn nhẹ và giảm viêm, giúp nướu bớt sưng đỏ, khó chịu. Khi kết hợp súc miệng nước muối 1–2 lần/ngày cùng vệ sinh răng đúng cách, bạn đang hỗ trợ quá trình trị viêm nha chu tại nhà một cách tự nhiên và an toàn.

4.4. Dùng gel hoặc nước súc miệng chứa chlorhexidine

Một số sản phẩm chứa chlorhexidine hoặc các hoạt chất kháng khuẩn khác có thể kiểm soát sự phát triển của vi khuẩn gây viêm nướu. Đây là bước hỗ trợ cần thiết khi trị viêm nha chu tại nhà, nhưng bạn cần dùng theo chỉ định của nha sĩ để tránh các tác dụng phụ như đổi màu răng hoặc thay đổi vị giác

4.5. Tăng cường thực phẩm chống viêm

Vitamin C, canxi và vitamin D đóng vai trò quan trọng trong việc củng cố mô nướu và xương hàm. Khi nướu khỏe mạnh, khả năng chống lại vi khuẩn tăng lên, giúp các phương pháp trị viêm nha chu tại nhà đạt hiệu quả tốt hơn. Bạn có thể bổ sung qua thực phẩm giàu vitamin, trái cây, rau xanh, sữa hoặc theo lời khuyên của bác sĩ.

5. Khi nào cần đến nha khoa dù đã trị tại nhà?

Các dấu hiệu bạn phải đến bác sĩ ngay:

  • Nướu chảy máu kéo dài
  • Hơi thở hôi dai dẳng
  • Nướu tụt
  • Răng lung lay
  • Xuất hiện mủ

Lúc này, các giải pháp trị viêm nha chu tại nhà không còn đủ. Bạn cần làm sạch túi nha chu, lấy cao răng và điều trị chuyên sâu để ngăn tiến triển nặng.

Kết luận

Trị viêm nha chu tại nhà giúp giảm triệu chứng và hỗ trợ nướu hồi phục, nhưng không thể thay thế hoàn toàn điều trị chuyên sâu tại nha khoa. Nếu muốn điều trị dứt điểm, hãy kết hợp chăm sóc tại nhà với thăm khám tại một cơ sở uy tín.

Tham khảo bảng giá dịch vụ tại Lamina. Mọi thông tin đặt lịch nhắn qua zalofanpagetiktok hoặc điền form tại website.

Để lại một bình luận

Email của bạn sẽ không được hiển thị công khai. Các trường bắt buộc được đánh dấu *