Một nụ cười trắng sáng luôn là mong muốn của nhiều người. Tuy nhiên, không ít trường hợp gặp phải tình trạng cao răng màu đen khiến răng miệng mất thẩm mỹ, hơi thở có mùi và kéo theo hàng loạt bệnh lý nguy hiểm. Nếu không được xử lý kịp thời, cao răng đen có thể là “thủ phạm thầm lặng” khiến bạn mất răng sớm. Bài viết dưới đây sẽ giúp bạn hiểu rõ tác hại to lớn của cao răng màu đen, nguyên nhân hình thành và cách điều trị an toàn.
1. Cao răng màu đen là gì?
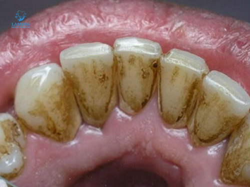
Cao răng màu đen là mảng bám đã khoáng hóa lâu ngày, bám chặt trên bề mặt răng, đặc biệt ở vùng cổ răng và kẽ răng. Khác với cao răng vàng nâu, loại cao răng này có màu đen sẫm, bề mặt cứng chắc, không thể loại bỏ bằng bàn chải hay chỉ nha khoa thông thường.
Sự hiện diện của cao răng màu đen không chỉ gây mất thẩm mỹ mà còn là môi trường lý tưởng cho vi khuẩn sinh sôi, gây nhiều vấn đề răng miệng nghiêm trọng.
Cao răng màu đen
2. Nguyên nhân chính khiến cao răng chuyển sang màu đen
Khác với mảng bám mềm dễ làm sạch, cao răng đen hình thành bởi nhiều yếu tố kết hợp. Dưới đây là những nguyên nhân điển hình:
2.1. Mảng bám tích tụ lâu ngày
Nếu bạn lơ là vệ sinh răng miệng, mảng bám sẽ khoáng hóa thành cao răng. Lâu dần, chúng hấp thụ thêm sắc tố và đổi từ màu vàng sang nâu, cuối cùng thành đen cứng chắc.
2.2. Thói quen ăn uống và sinh hoạt
-
Uống nhiều trà đặc, cà phê, rượu vang đỏ, nước ngọt có gas.
-
Hút thuốc lá, thuốc lào khiến răng dễ xỉn màu, cao răng nhanh chuyển đen.
2.3. Viêm nướu và chảy máu chân răng
Khi lợi bị viêm, máu rỉ ra sẽ để lại sắc tố sắt trên bề mặt cao răng. Đây là lý do nhiều người viêm nướu kéo dài thường xuất hiện cao răng đen.
2.4. Tác dụng phụ từ thuốc
Một số loại thuốc bổ sung sắt, kháng sinh tetracycline có thể khiến cao răng và mô răng đổi màu, tạo cảm giác răng sậm và đen hơn.
3. Tác hại nghiêm trọng khi có cao răng màu đen
Không chỉ đơn thuần là vết bẩn trên răng, cao răng màu đen còn tiềm ẩn nhiều nguy cơ cho sức khỏe răng miệng.
- Mất thẩm mỹ nghiêm trọng: Một nụ cười lộ cao răng đen khiến gương mặt kém duyên, tạo cảm giác thiếu vệ sinh, ảnh hưởng đến sự tự tin trong giao tiếp và công việc.
- Gây hôi miệng kéo dài: Cao răng đen chứa hàng triệu vi khuẩn, khi phân hủy tạo ra hợp chất lưu huỳnh gây mùi hôi khó chịu. Tình trạng này không thể khắc phục bằng nước súc miệng tạm thời.
- Viêm nướu và nha chu: Cao răng đen kích thích nướu, gây đỏ, sưng, chảy máu chân răng. Nếu kéo dài, bệnh tiến triển thành viêm nha chu, làm tiêu xương ổ răng và tụt lợi.
- Lung lay và rụng răng sớm: Nghiên cứu nha khoa cho thấy, người có cao răng màu đen lâu năm có nguy cơ mất răng cao gấp nhiều lần so với người được lấy cao răng định kỳ.
- Tăng nguy cơ bệnh lý toàn thân: Vi khuẩn từ cao răng có thể theo đường máu lan đến các cơ quan khác, làm tăng nguy cơ tim mạch, tiểu đường hoặc viêm khớp.
Tác hại cao răng màu đen
4. Cách điều trị cao răng màu đen hiệu quả
4.1. Lấy cao răng bằng máy siêu âm tại nha khoa
Đây là phương pháp duy nhất loại bỏ cao răng màu đen triệt để. Bác sĩ dùng đầu máy siêu âm rung nhẹ để phá vỡ liên kết cao răng, sau đó làm sạch mà không gây tổn thương men răng.
Lấy cao răng bằng máy siêu âm
4.2. Vệ sinh răng miệng hàng ngày
-
Đánh răng ít nhất 2 lần/ngày với kem chứa fluoride.
-
Sử dụng chỉ nha khoa và nước súc miệng kháng khuẩn.
-
Ưu tiên bàn chải lông mềm hoặc bàn chải điện để làm sạch tốt hơn.
4.3. Thay đổi thói quen ăn uống
-
Giảm trà, cà phê, thuốc lá và đồ uống có màu sẫm.
-
Tăng cường rau xanh, trái cây giòn để làm sạch răng tự nhiên.
4.4. Kết hợp thẩm mỹ nha khoa
Nếu răng bị xỉn màu nặng, ngoài lấy cao răng có thể áp dụng:
-
Tẩy trắng răng: giúp men răng sáng hơn.
-
Dán sứ veneer hoặc bọc sứ: phục hồi thẩm mỹ tối đa.
Thẩm mỹ nha khoa
5. Nên điều trị cao răng màu đen ở đâu?
Để đảm bảo an toàn, bạn nên lựa chọn nha khoa uy tín, có bác sĩ giàu kinh nghiệm và công nghệ hiện đại.
Nha khoa Lamina là một trong những địa chỉ được nhiều khách hàng lựa chọn nhờ:
-
Đội ngũ bác sĩ chuyên môn cao.
-
Máy lấy cao răng siêu âm tiên tiến, nhẹ nhàng, không đau.
-
Quy trình vô trùng nghiêm ngặt.
Kết luận
Cao răng màu đen không chỉ làm nụ cười mất điểm mà còn gây ra nhiều hậu quả nghiêm trọng cho sức khỏe răng miệng. Chủ động điều trị và thăm khám định kỳ sẽ giúp bạn ngăn ngừa biến chứng nguy hiểm, giữ gìn hàm răng chắc khỏe lâu dài.
Đừng để cao răng màu đen trở thành “kẻ thù thầm lặng” hủy hoại nụ cười – hãy điều trị sớm tại nha khoa uy tín để lấy lại sự tự tin.
Tham khảo bảng giá dịch vụ tại Lamina. Mọi thông tin đặt lịch nhắn qua zalo, fanpage, tiktok hoặc điền form tại website.


Có thể bạn quan tâm:
Địa Chỉ Bọc Răng Sứ Đông Anh Uy Tín
Bạn đang tìm một địa chỉ bọc răng sứ Đông Anh
4 Tiêu Chí “Chân Ái” Khi Chọn Nha Khoa Niềng Răng Uy Tín Đông Anh
Hành trình thay đổi nụ cười, cải thiện khớp cắn với
5 Dấu Hiệu Viêm Tủy Răng Cấp Đừng Chủ Quan Với Cơn Đau Buốt Tận Óc
Trong các bệnh lý về răng miệng, viêm tủy răng cấp
Nhổ Răng Khôn Tại Đông Anh Giải Pháp An Toàn, Không Đau, Không Biến Chứng
Răng khôn (răng số 8) thường là “nỗi ám ảnh” của
Lấy Tuỷ Răng Ở Đông Anh Giải Pháp Chấm Dứt Cơn Đau An Toàn, Trọn Gói
Những cơn đau nhức răng dữ dội, buốt nhói đến tận
Lấy Tủy Răng Xong Bị Sưng Mặt Nguyên Nhân Và Cách Xử Lý Dứt Điểm
Điều trị tủy răng (nội nha) là giải pháp cuối cùng