Hôi miệng là vấn đề khiến nhiều người mất tự tin trong giao tiếp hằng ngày. Trong số các nguyên nhân thường gặp, bệnh lý sâu răng được xem là yếu tố phổ biến nhất. Vậy sâu răng có gây hôi miệng không và liệu chỉ cần nhổ bỏ răng sâu là có thể giải quyết hoàn toàn mùi khó chịu? Bài viết dưới đây sẽ giúp bạn hiểu rõ cơ chế gây mùi và hướng điều trị hiệu quả.
Sâu răng và mối liên hệ với hôi miệng
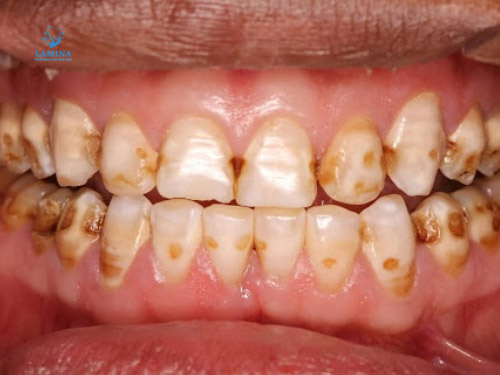
Để trả lời câu hỏi sâu răng có gây hôi miệng không, trước hết cần hiểu bản chất của bệnh lý này. Sâu răng là quá trình vi khuẩn trong khoang miệng tấn công men răng, tạo thành các lỗ sâu. Khi cấu trúc răng bị phá hủy, thức ăn dễ mắc lại trong các hốc sâu và bị phân hủy.
Chính quá trình phân hủy này tạo ra mùi khó chịu. Ở giai đoạn nặng, tình trạng Răng sâu bị thối có thể xảy ra khi mô răng hoại tử, làm hơi thở có mùi nặng hơn và lan rộng trong khoang miệng.
Như vậy, đáp án cho thắc mắc sâu răng có gây hôi miệng không là: Có. Đây là một trong những nguyên nhân hàng đầu gây mùi hôi dai dẳng.
Sâu răng có gây hôi miệng không
Nguyên nhân sâu răng gây mùi hôi
1. Vi khuẩn phân hủy thức ăn trong lỗ sâu
Khi răng bị tổn thương, các hốc sâu trở thành môi trường lý tưởng cho vi khuẩn trú ngụ. Thức ăn thừa bị mắc lại sẽ phân hủy và tạo ra hợp chất lưu huỳnh – tác nhân chính gây mùi.
Nhiều người nhận thấy tình trạng Xỉa răng có mùi hôi rõ rệt. Đây là dấu hiệu cho thấy vi khuẩn đang hoạt động mạnh trong lỗ sâu.
Vi khuẩn trong răng
2. Acid phá hủy men răng
Vi khuẩn tiết acid làm bào mòn men răng nhanh chóng. Khi tổn thương lan rộng đến ngà và tủy, mô răng bắt đầu hoại tử. Lúc này, nếu không điều trị, người bệnh có thể rơi vào tình trạng Răng sâu bị thối, gây mùi rất khó chịu.
Vì vậy, nếu bạn còn băn khoăn sâu răng có gây hôi miệng không, thì cơ chế vi khuẩn và acid chính là câu trả lời rõ ràng nhất.
Axit phá huỷ men răng
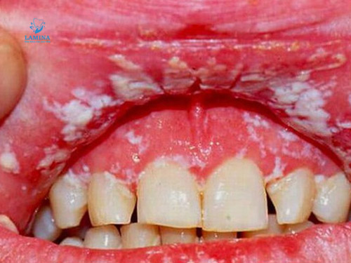
3. Viêm nhiễm lan rộng trong khoang miệng
Khi sâu răng không được xử lý sớm, vi khuẩn có thể lan sang nướu, lưỡi và các mô mềm xung quanh. Điều này khiến hơi thở có mùi kể cả khi đã đánh răng.
Viêm nhiễm khoang miệng
Nhổ răng hoặc trám răng có hết hôi miệng không?
Khi tìm hiểu sâu răng có gây hôi miệng không, nhiều người đồng thời đặt câu hỏi: Nhổ hoặc trám răng có giải quyết triệt để mùi hôi không?
Nhổ răng sâu
Trong nhiều trường hợp, nhổ bỏ chiếc răng nhiễm khuẩn nặng có thể cải thiện mùi hôi rõ rệt. Tuy nhiên, hiệu quả còn phụ thuộc vào:
-
Cơ địa mỗi người
-
Tình trạng viêm nhiễm trước đó
-
Cách chăm sóc sau nhổ
-
Nguy cơ nhiễm trùng ổ răng
Nếu vết nhổ không được vệ sinh đúng cách, mùi hôi vẫn có thể tái phát.
Trám răng sâu có hết hôi miệng không?
Nhiều người thắc mắc Trám răng sâu có hết hôi miệng không. Câu trả lời là: Có thể, nếu nguyên nhân mùi hôi chỉ xuất phát từ lỗ sâu và vật liệu trám được thực hiện đúng kỹ thuật.
Ngược lại, nếu trám không kín hoặc vi khuẩn vẫn còn tồn tại bên trong, mùi hôi vẫn có thể tiếp diễn. Vì vậy, điều trị cần được thực hiện tại cơ sở nha khoa uy tín.
Qua đó có thể khẳng định thêm một lần nữa rằng sâu răng có gây hôi miệng không phụ thuộc vào mức độ tổn thương và phương pháp điều trị.
Cách khắc phục tình trạng hôi miệng do sâu răng
Sau khi đã hiểu rõ sâu răng có gây hôi miệng không, việc quan trọng tiếp theo là cải thiện tình trạng này đúng cách.
1. Vệ sinh răng miệng đúng cách
-
Đánh răng ít nhất 2 lần/ngày
-
Làm sạch cả mặt trong, mặt nhai
-
Sử dụng nước súc miệng diệt khuẩn
Đây là bước nền tảng giúp kiểm soát vi khuẩn gây mùi.
Vệ sinh răng miệng đúng cách
2. Dùng chỉ nha khoa
Chỉ nha khoa giúp loại bỏ thức ăn mắc giữa kẽ răng – nguyên nhân khiến Xỉa răng có mùi hôi. Thói quen này giúp giảm đáng kể vi khuẩn gây mùi.
Dùng chỉ nha khoa
3. Uống đủ nước
Khô miệng làm vi khuẩn phát triển mạnh hơn. Uống đủ nước giúp kích thích tiết nước bọt và làm sạch khoang miệng tự nhiên.
Uống đủ nước
4. Hạn chế thực phẩm gây mùi
Tỏi, hành, rượu bia, thuốc lá… có thể làm mùi hôi nặng hơn. Nếu đang điều trị sâu răng, bạn nên hạn chế các thực phẩm này.
Hạn chế ăn thực phẩm có mùi
5. Điều trị triệt để các bệnh lý răng miệng
Viêm nướu, viêm nha chu, viêm amidan cũng có thể khiến mùi hôi kéo dài. Khi điều trị đồng thời các bệnh lý này, hiệu quả cải thiện sẽ rõ rệt hơn.
Điều trị hết các bệnh lý răng miệng
Kết luận
Vậy sâu răng có gây hôi miệng không? Câu trả lời là có, đặc biệt khi lỗ sâu lớn, vi khuẩn phát triển mạnh hoặc xuất hiện tình trạng hoại tử mô răng. Việc nhổ hoặc trám răng có thể cải thiện mùi hôi, nhưng hiệu quả còn phụ thuộc vào tình trạng thực tế và cách chăm sóc sau điều trị.
Đừng chủ quan với mùi hôi kéo dài vì đó có thể là dấu hiệu cảnh báo bệnh lý răng miệng nghiêm trọng.
CTA
Nếu bạn đang lo lắng sâu răng có gây hôi miệng không và chưa biết cách xử lý phù hợp, hãy đến cơ sở nha khoa uy tín để được thăm khám và tư vấn chuyên sâu. Điều trị sớm không chỉ giúp cải thiện hơi thở mà còn bảo vệ răng thật lâu dài.
Tham khảo bảng giá dịch vụ tại Lamina. Mọi thông tin đặt lịch nhắn qua zalo, fanpage, tiktok hoặc điền form tại website.


Có thể bạn quan tâm:
Sâu răng có gây hôi miệng không và 5 cách khắc phục tình trạng hôi miệng
Hôi miệng là vấn đề khiến nhiều người mất tự tin
Sâu Răng Hàm Có Lỗ Và Cách Điều Trị Hiệu Quả
Sâu răng là bệnh lý răng miệng phổ biến ở mọi
Niềng răng tại Nha khoa Lamina giá bao nhiêu? Cập nhật bảng giá mới nhất
Chi phí luôn là vấn đề được quan tâm hàng đầu
Răng bị nứt: Nguyên nhân, mức độ nguy hiểm và cách xử lý đúng chuẩn nha khoa
Răng bị nứt không phải lúc nào cũng đau dữ dội,
Răng giả silicon là gì? Có nên sử dụng răng giả silicon không?
Răng giả silicon là một trong những giải pháp phục hình
Niềng răng có được vĩnh viễn không? Sự thật ai cũng nên biết trước khi chỉnh nha
Niềng răng không còn là chuyện “xa xỉ” hay chỉ dành