Một nụ cười rạng rỡ không chỉ mang lại thiện cảm trong giao tiếp mà còn phản ánh sức khỏe răng miệng tốt. Tuy nhiên, không ít người gặp phải tình trạng răng bị đen trên bề mặt, gây mất thẩm mỹ và lo lắng về các vấn đề tiềm ẩn trong răng miệng. Vậy nguyên nhân nào khiến răng bị đen? Có nguy hiểm không? Và làm sao để xử lý triệt để?
1. Răng bị đen trên bề mặt là gì?
Răng bị đen trên bề mặt là tình trạng bề mặt răng xuất hiện các mảng màu đen, xám hoặc nâu đậm. Các vết đen có thể chỉ nằm ở bề mặt men răng hoặc ăn sâu vào ngà răng, ảnh hưởng trực tiếp đến thẩm mỹ và đôi khi là chức năng ăn nhai.
Tình trạng này có thể gặp ở cả trẻ em và người lớn. Nếu không được phát hiện và xử lý sớm, răng bị đen trên bề mặt có thể là dấu hiệu của các vấn đề nghiêm trọng như sâu răng, nhiễm màu răng hoặc hoại tử tủy.
2. Nguyên nhân khiến răng bị đen trên bề mặt
- Vệ sinh răng miệng kém: Đây là nguyên nhân phổ biến nhất. Khi không đánh răng đúng cách, các mảng bám và thức ăn thừa tích tụ lâu ngày sẽ trở thành cao răng. Cao răng khi bị khoáng hóa sẽ chuyển thành màu nâu đậm hoặc đen, tạo ra hiện tượng răng bị đen trên bề mặt.

Vệ sinh răng miệng kém
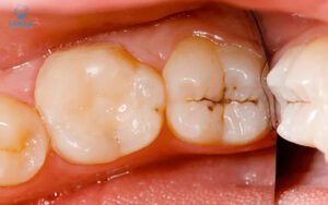
- Sâu răng: Sâu răng là tình trạng vi khuẩn phá hủy cấu trúc men răng và ngà răng. Ở giai đoạn đầu, sâu răng thường có màu trắng đục, sau đó chuyển sang màu nâu hoặc đen. Khi vết sâu lan rộng, bề mặt răng sẽ xuất hiện các đốm đen, sần sùi và dễ bị vỡ.

Sâu răng
- Cao răng lâu ngày: Cao răng không được làm sạch thường xuyên sẽ bị oxy hóa, chuyển màu từ vàng sang nâu đậm rồi đen. Đặc biệt là ở những vùng khó vệ sinh như mặt trong răng cửa dưới, mặt xa các răng hàm.

Cao răng lâu ngày
- Nhiễm màu do thực phẩm và thuốc: Một số thực phẩm và đồ uống có màu đậm như cà phê, trà, rượu vang đỏ, nước ngọt có gas… khi dùng thường xuyên có thể khiến răng bị đen trên bề mặt. Ngoài ra, thuốc kháng sinh tetracycline khi dùng trong thai kỳ hoặc thời thơ ấu cũng có thể gây nhiễm màu vĩnh viễn cho răng.
- Tụt lợi, hở chân răng: Khi lợi tụt xuống, phần chân răng bị lộ ra ngoài. Do không được bảo vệ bởi lớp men răng nên phần này dễ nhiễm màu, bị mòn và có màu sẫm hơn thân răng, gây ra cảm giác răng bị đen.

Tụt lợi, hở chân răng
- Chấn thương hoặc chết tủy răng: Một chiếc răng từng bị va đập mạnh hoặc tổn thương tủy có thể chuyển màu xám hoặc đen sau một thời gian. Đây là dấu hiệu tủy răng đã chết và cần được điều trị.
3. Răng bị đen trên bề mặt có nguy hiểm không?
Tùy thuộc vào nguyên nhân, răng bị đen trên bề mặt có thể chỉ là vấn đề thẩm mỹ hoặc là dấu hiệu cảnh báo bệnh lý răng miệng nghiêm trọng.
- Trường hợp nhẹ: Răng chỉ bị nhiễm màu do thực phẩm hoặc cao răng, có thể khắc phục bằng vệ sinh răng miệng hoặc lấy cao răng định kỳ.
- Trường hợp nặng: Đốm đen là dấu hiệu của sâu răng, chết tủy hoặc viêm nướu. Nếu không điều trị, răng có thể bị hư hỏng nặng, mất răng hoặc ảnh hưởng đến sức khỏe toàn thân.
Do đó, không nên chủ quan khi thấy răng bị đen trên bề mặt, đặc biệt khi kèm theo dấu hiệu ê buốt, đau nhức hoặc hôi miệng.
Sâu răng là gì? Nguyên nhân dấu hiệu và cách điều trị.
4. Cách xử lý khi răng bị đen trên bề mặt
- Lấy cao răng định kỳ: Nếu nguyên nhân là do cao răng tích tụ, bác sĩ sẽ tiến hành lấy cao răng bằng máy siêu âm. Đây là phương pháp an toàn, không xâm lấn, giúp làm sạch các mảng đen trên bề mặt răng hiệu quả.
- Tẩy trắng răng: Đối với các trường hợp nhiễm màu do thực phẩm, thuốc lá hoặc tuổi tác, tẩy trắng răng tại phòng khám hoặc tại nhà theo chỉ định của bác sĩ sẽ cải thiện rõ rệt. Tuy nhiên, nếu vết đen nằm sâu bên trong ngà răng, hiệu quả có thể hạn chế.
- Trám răng thẩm mỹ: Khi răng bị đen trên bề mặt do sâu, bác sĩ sẽ làm sạch phần mô răng bị tổn thương và trám lại bằng vật liệu composite cùng màu răng. Kỹ thuật trám hiện nay có độ bền cao và thẩm mỹ gần như tự nhiên.
- Điều trị tủy hoặc bọc răng sứ: Nếu răng bị đen do chết tủy hoặc viêm sâu, bác sĩ sẽ tiến hành điều trị tủy (lấy sạch phần tủy chết) rồi bọc răng sứ để khôi phục hình thể và màu sắc tự nhiên của răng.
5. Cách phòng tránh răng bị đen trên bề mặt
5.1. Vệ sinh răng miệng đúng cách
- Đánh răng ít nhất 2 lần mỗi ngày bằng kem đánh răng có chứa fluor.
- Dùng chỉ nha khoa hoặc máy tăm nước để làm sạch kẽ răng.
- Súc miệng bằng nước súc miệng diệt khuẩn hằng ngày.
Vệ sinh răng miệng đúng cách
5.2. Hạn chế thực phẩm dễ nhiễm màu và đồ ngọt
- Giảm uống cà phê, trà đậm, rượu vang, nước ngọt có màu.
- Tránh hút thuốc lá – nguyên nhân hàng đầu gây răng bị đen trên bề mặt.

Hạn chế đồ ngọt, dễ nhiễm màu
5.3. Lấy cao răng định kỳ và khám định kỳ
- Nên đến nha khoa lấy cao răng 4–6 tháng/lần để loại bỏ mảng bám và phòng ngừa viêm nướu, hôi miệng.
- Khám răng định kỳ giúp phát hiện sớm các tổn thương răng miệng và xử lý kịp thời, tránh để tình trạng đen răng tiến triển nghiêm trọng.

Lấy cao răng định kỳ
6. Kết luận
Tình trạng răng bị đen trên bề mặt không chỉ ảnh hưởng đến thẩm mỹ mà còn có thể tiềm ẩn nhiều nguy cơ về sức khỏe răng miệng. Việc nhận diện sớm nguyên nhân, điều trị đúng cách và duy trì thói quen chăm sóc răng khoa học sẽ giúp bạn duy trì nụ cười trắng sáng, khỏe mạnh lâu dài.
Nếu bạn đang lo lắng vì thấy răng có dấu hiệu bị đen, đừng chần chừ – hãy đặt lịch khám tại nha khoa uy tín để được kiểm tra kỹ lưỡng và tư vấn giải pháp phù hợp.
_________________________________
⛪️ LAMINA – NHA KHOA CỦA MỌI NHÀ
Since 2010: Tiện Lợi – Thiết Thực – Trọn Gói – Tận tâm
📥 Liên hệ Fanpage: Nha Khoa Lamina
📞 Tổng đài đặt lịch: 089 8838 666 (từ 8h00 – 18h30)
📥 Liên hệ Zalo: https://zalo.me/126763149081336756
📞 Hỗ trợ y tế (24/7): 089 8838 666 nhánh 0
📞 Hotline p/ánh DVKH (24/7): 083 8838 666



Có thể bạn quan tâm:
Trị viêm nha chu tại nhà: Khi nào hiệu quả, khi nào phải đi nha sĩ?
1. Trị viêm nha chu tại nhà là gì? Trị viêm
Tụt lợi nặng – Dấu hiệu cảnh báo răng thật sắp mất mà nhiều người bỏ qua
Bạn có bao giờ soi gương và thấy răng mình trông
Viêm nha chu nặng: Dấu hiệu nguy hiểm bạn tuyệt đối không nên xem nhẹ
Bạn đã từng đánh răng mà nướu chảy máu liên tục,
Đau răng khôn uống Panadol được không? Bác sĩ giải đáp chi tiết
Bạn đang đau nhức răng khôn, sưng má, cắn vào cũng
Ưu điểm và những điều cần biết về bọc răng sứ toàn sứ
Bọc răng sứ toàn sứ không chỉ mang lại nụ cười
Chụp x quang răng khôn bao nhiêu tiền? Bảng giá & Lý do nên chụp trước khi nhổ
Bạn từng nghe bác sĩ bảo “phải chụp phim X-quang trước