Răng bị đen là tình trạng khá phổ biến, có thể gặp ở nhiều độ tuổi nhưng thường xuất hiện rõ hơn ở người trưởng thành và trung niên. Không chỉ ảnh hưởng trực tiếp đến thẩm mỹ khuôn mặt, tình trạng răng xỉn đen còn khiến nhiều người mất tự tin trong giao tiếp, ngại cười nói và tiềm ẩn nhiều nguy cơ bệnh lý răng miệng nguy hiểm. Vậy răng bị đen do đâu, có nguy hiểm không và cách khắc phục như thế nào? Bài viết dưới đây sẽ giúp bạn hiểu rõ một cách chi tiết.
Răng bị đen là gì?
Răng bị đen là hiện tượng bề mặt răng, kẽ răng hoặc vùng cổ chân răng xuất hiện các mảng hoặc vệt sẫm màu, thường có màu nâu sẫm đến đen. Những mảng màu này khiến răng mất đi độ trắng sáng tự nhiên và có xu hướng lan rộng nếu không được xử lý kịp thời.
Tình trạng răng bị đen trên bề mặt có thể xuất hiện đơn lẻ ở một vài răng hoặc lan ra nhiều răng trên cung hàm, tùy thuộc vào nguyên nhân và thói quen chăm sóc răng miệng của mỗi người.
Răng bị đen
Nguyên nhân khiến răng bị đen
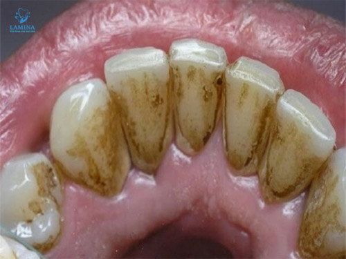
Cao răng – nguyên nhân phổ biến nhất
Cao răng là những mảng bám cứng hình thành do vi khuẩn trong khoang miệng kết hợp với thức ăn thừa và khoáng chất trong nước bọt. Ban đầu, mảng bám thường có màu trắng ngà hoặc vàng nhạt, nhưng theo thời gian, nếu không được làm sạch, chúng sẽ cứng lại và chuyển sang màu nâu đen.
Cao răng thường tích tụ nhiều ở kẽ răng và vùng sát nướu, khiến răng bị đen ở kẽ rất dễ nhận thấy khi cười hoặc nói chuyện. Không chỉ gây mất thẩm mỹ, cao răng còn là môi trường lý tưởng cho vi khuẩn phát triển, làm tăng nguy cơ viêm nướu và nha chu.
Cao răng
Sâu răng
Sâu răng là một trong những nguyên nhân quan trọng khiến nhiều người thắc mắc tại sao răng bị xỉn đen dù đã chải răng đều đặn. Sâu răng thường xuất hiện ở những vị trí khó làm sạch như mặt trong răng, kẽ răng hoặc sát đường viền nướu.
Khi bị sâu, ngà răng sẽ phản ứng bằng cách tái khoáng, khiến vùng răng tổn thương chuyển sang màu sẫm hoặc đen. Trong trường hợp sâu răng khoáng hóa, các đốm đen thường nằm ở rãnh mặt nhai. Với sâu răng tiến triển, ngoài màu đen còn xuất hiện các lỗ sâu, tạo điều kiện cho thức ăn mắc lại và làm bệnh ngày càng nặng hơn.
Sâu răng
Thói quen hút thuốc lá và sử dụng thực phẩm sẫm màu
Nicotine và hắc ín trong thuốc lá là những chất dễ bám dính lên bề mặt răng, khiến răng nhanh chóng bị sậm màu. Bên cạnh đó, việc thường xuyên sử dụng các thực phẩm và đồ uống có màu đậm như cà phê, trà, coca, sô cô la, nước cà rốt… cũng làm sắc tố bám lên mảng bám và cao răng, khiến răng dần chuyển sang màu xỉn đen.
Thói quen hút thuốc
Chụp răng (mão răng)
Ở những người đã từng bọc răng sứ, tình trạng răng bị đen gần lợi có thể xuất phát từ quá trình oxy hóa của kim loại bên trong mão răng. Sau một thời gian sử dụng, kim loại bị oxy hóa sẽ tạo thành đường viền đen sát nướu.
Ngoài ra, nếu quá trình bọc răng sứ không đảm bảo kỹ thuật, mão răng bị hở hoặc cong vênh sẽ khiến thức ăn mắc lại, lâu ngày gây đen chân răng và viêm nướu.
Do mão răng
Răng bị đen gây ảnh hưởng gì?
Gây viêm nướu, viêm nha chu
Vi khuẩn trong cao răng và mảng bám đen sẽ tấn công mô nướu, gây viêm, sưng đỏ và chảy máu chân răng. Nếu không điều trị sớm, viêm nướu có thể tiến triển thành viêm nha chu – bệnh lý răng miệng nguy hiểm hàng đầu dẫn đến mất răng.
Gây hôi miệng
Mảng bám đen chứa rất nhiều vi khuẩn kỵ khí – tác nhân chính gây mùi hôi khó chịu trong khoang miệng. Răng bị đen do sâu răng hoặc cao răng đều có thể khiến hơi thở có mùi, ảnh hưởng lớn đến giao tiếp và tâm lý người bệnh.
Tụt nướu, tiêu xương và mất răng
Cao răng đen bám lâu ngày sẽ làm mài mòn thân răng, gây tụt nướu, lộ chân răng và tiêu xương ổ răng. Với những trường hợp răng bị đen do sâu răng, nếu không điều trị kịp thời, sâu răng có thể dẫn đến viêm tủy, hoại tử tủy và cuối cùng là mất răng vĩnh viễn.
Mất thẩm mỹ nghiêm trọng
Răng bị đen trên bề mặt hoặc ở kẽ răng khiến nụ cười kém duyên, làm người bệnh thiếu tự tin khi giao tiếp, cười nói hay chụp ảnh.
Các biện pháp khắc phục tình trạng răng bị đen
Điều trị răng sâu
Đối với trường hợp răng bị đen do sâu răng, hàn trám răng là phương pháp điều trị phổ biến và hiệu quả. Bác sĩ sẽ loại bỏ hoàn toàn mô răng bị sâu, sau đó sử dụng vật liệu trám thẩm mỹ để phục hồi hình dáng và màu sắc răng.
Các vật liệu trám hiện nay như composite hoặc Fuji có màu sắc gần giống răng thật, giúp đảm bảo yếu tố thẩm mỹ và ngăn ngừa vi khuẩn tái xâm nhập.
Điều trị sâu răng
Thay mão răng
Nếu nguyên nhân gây răng bị đen xuất phát từ chụp răng cũ, việc thay mão răng mới, đặc biệt là mão sứ toàn sứ không kim loại, sẽ giúp loại bỏ tình trạng viền đen và cải thiện thẩm mỹ rõ rệt.
Thay mão răng
Lấy cao răng
Với các trường hợp răng bị đen do mảng bám và cao răng, lấy cao răng là bước điều trị bắt buộc. Quá trình này giúp loại bỏ hoàn toàn cao răng và các mảng bám sẫm màu trên răng.
Sau khi lấy cao răng, bác sĩ sẽ tiến hành đánh bóng bề mặt răng, giúp răng láng mịn hơn, hạn chế sự bám dính trở lại của vi khuẩn và mảng bám.
Lấy cao răng
Cách ngăn ngừa tình trạng răng bị đen
Đánh răng đúng cách hằng ngày
Vệ sinh răng miệng đúng cách là yếu tố quan trọng nhất để phòng ngừa răng bị đen. Bạn nên chải răng ít nhất 2 lần mỗi ngày bằng bàn chải lông mềm, thay bàn chải định kỳ và sử dụng chỉ nha khoa để làm sạch kẽ răng.
Ngoài ra, có thể áp dụng cách trị kẽ răng bị đen tại nhà bằng việc súc miệng nước muối nhạt hoặc dung dịch chuyên dụng để hỗ trợ làm sạch vi khuẩn, tuy nhiên biện pháp này chỉ mang tính hỗ trợ, không thay thế việc lấy cao răng tại nha khoa.
Khám răng định kỳ
Khám răng định kỳ 6 tháng/lần giúp phát hiện sớm các dấu hiệu răng bị đen, sâu răng hoặc viêm nướu. Từ đó, bác sĩ sẽ có biện pháp can thiệp kịp thời, tránh biến chứng nguy hiểm.
Chế độ ăn uống khoa học
Một chế độ ăn uống lành mạnh với nhiều rau xanh, trái cây tươi, thực phẩm giàu canxi và protein sẽ giúp răng chắc khỏe hơn. Đồng thời, nên hạn chế thực phẩm chứa nhiều đường, acid và đồ uống sẫm màu để bảo vệ men răng.
Răng bị đen khiến bạn mất tự tin, xem cách tránh răng bị đen tại nhà
Kết luận
Răng bị đen không chỉ là vấn đề thẩm mỹ mà còn là dấu hiệu cảnh báo nhiều bệnh lý răng miệng nguy hiểm như viêm nướu, viêm nha chu, viêm tủy và mất răng. Việc nhận biết sớm nguyên nhân và áp dụng biện pháp điều trị phù hợp sẽ giúp bảo vệ sức khỏe răng miệng lâu dài. Khi phát hiện răng có dấu hiệu xỉn đen, bạn nên chủ động thăm khám nha khoa để được tư vấn và xử lý kịp thời.
Tham khảo bảng giá dịch vụ tại Lamina. Mọi thông tin đặt lịch nhắn qua zalo, fanpage, tiktok hoặc điền form tại website


Có thể bạn quan tâm:
Răng thỏ hô là gì? Răng thỏ có bị hô không và cách khắc phục hiệu quả
Bạn từng được khen “răng thỏ nhìn dễ thương” nhưng lại
Trồng răng Implant là gì? Có nên trồng răng Implant không?
Mất răng không chỉ khiến nụ cười kém tự tin mà
U men răng là gì? Dấu hiệu nhận biết và cách điều trị kịp thời
U men răng là một trong những bệnh lý răng hàm
Men răng là gì? Nguyên nhân men răng yếu và cách khắc phục hiệu quả
Men răng đóng vai trò như “lớp áo giáp” bảo vệ
Áp xe răng là gì? Dấu hiệu, nguyên nhân và cách điều trị an toàn, hiệu quả
Áp xe răng không phải là đau răng thông thường. Đây
Răng bị đen: Nguyên nhân, hậu quả và cách khắc phục hiệu quả từ sớm
Răng bị đen là tình trạng khá phổ biến, có thể